
当院では月に一度、歯科認定医である佐知先生をお招きし、歯科に特化した特別診察を行っています。
歯科診療を専門とする獣医師による診察をご希望の方は、お気軽に当院までお問い合わせください。

【氏名】 佐知 本気(さち もとき)
【略歴】
2020年3月 山口大学共同獣医学部卒業
2020〜2024年 ASAP動物病院(福岡)
2024年〜 Doctors of Veterinary Dental Surgery所属
動物麻酔基礎技能認定医、比較歯科学研究会 歯科臨床診断学 第1期技能認定所得
福岡、東京、埼玉、大阪、京都の一次診療および二次診療施設にて犬猫の歯科診療に従事しています。また獣医師を対象とした歯科セミナーを行い、臨床現場で役立つ歯科診療の普及・啓発にも取り組んでいます。
歯周病は、口腔内の疾患の中でも特に発症頻度が高い病気で、歯の周囲に存在する細菌と、それに対する動物自身の免疫反応が相互に影響し合うことで生じる歯周組織の炎症性疾患です。
初期段階では歯肉炎として現れますが、病状が進行すると炎症は歯肉だけにとどまらず、歯を支える周囲組織へと広がっていきます。その結果、歯槽骨が徐々に吸収され、歯の動揺や脱落を引き起こすことがあります。
さらに重症化した場合には、顎の骨が弱くなり、骨折に至るケースも報告されています。
また、歯周病の原因となる細菌が血液中に侵入することで、心臓・肝臓・腎臓など全身の臓器に悪影響を及ぼす可能性も指摘されています。
① 初診・診察
まずは口腔内の状態を確認するため、視診(目での観察)や触診を行います。そのうえで、必要に応じて麻酔下での歯科処置が適切かどうかをご相談させていただきます。
② 術前検査
麻酔を安全に実施するため、事前に全身状態の確認を行います。主に血液検査を中心に、必要に応じてレントゲン検査や超音波(エコー)検査などを実施します。
③ 麻酔下での歯科処置
全身麻酔をかけた後、口腔内を詳細に確認し、歯科用レントゲン撮影を行って精密な診断を行います。診断結果に基づき、歯石除去や抜歯など、それぞれの状態に適した治療を実施します。
-処置前-
-処置後-
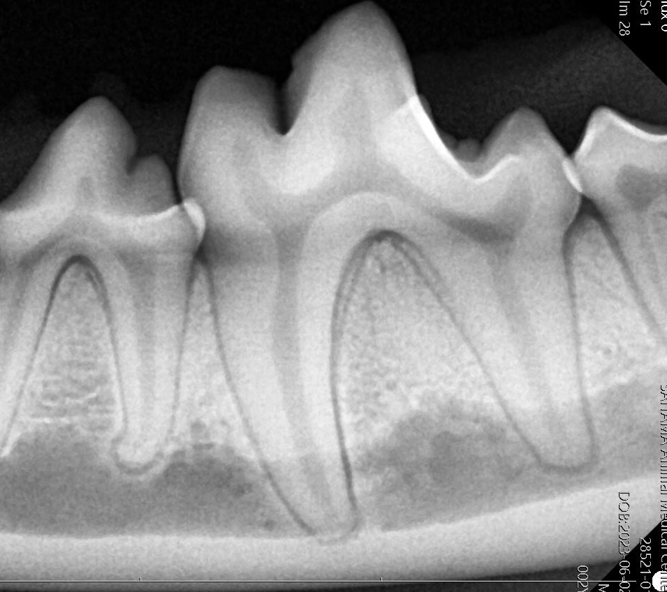
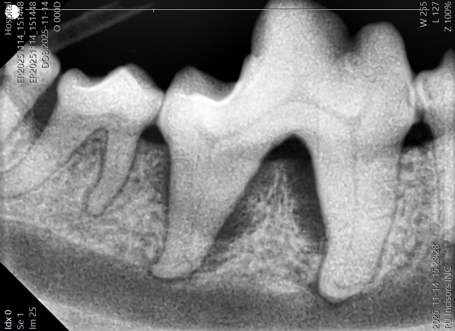
歯科用レントゲンによる精密診断
当院では、歯科診療専用のレントゲン装置を使用し、詳細な画像診断を行っています。一般的なレントゲンと比較して、歯や歯槽骨の状態をより鮮明に把握できるため、診断の精度向上につながります。これらの画像診断機器を活用し、病態を正確に評価したうえで最適な治療をご提案します。
正常な歯槽骨
重度歯周病に伴う歯槽骨吸収